AlpacaTeddySJ
Well-Known Member
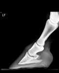
Hello, I had some x-rays done of my 3yr warmblood as suggested, which confirmed that he has a club foot - not entirely sure how or when it developed or if it was from a foal or later.
The vet has suggested that a check ligament desmotomy might help to correct the angle. As you can see the ligament is short on the xray, I hope this may help his long term health.
Said x-rays of front feet:


Does anyone have any experience of this procedure? Thanks in advance
The vet has suggested that a check ligament desmotomy might help to correct the angle. As you can see the ligament is short on the xray, I hope this may help his long term health.
Said x-rays of front feet:


Does anyone have any experience of this procedure? Thanks in advance