{97702}
...
It’s a rhetorical question really I suppose, I just want to moan....
Ace has been lame for 5 1/2 weeks now, he has had 6 sessions of laser treatment and has been on YuMove Advance for 2 weeks so far, he’s been on Instacam all the way through (notably worse without it).
He wasn’t getting any worse - maybe even a tiny improvement - up to last Friday, but he was going absolutely mad due to lack of exercise. With my vets permission took him to the secure dog field with the others, he had a walk ON THE LEAD very slowly around the perimeter while the others pottered about on Friday evening. Left him at home on Saturday when I went to see my mum, came back Saturday afternoon and he was dead lame ? There is no way it was the lead exercise, he has clearly wrenched his leg in some way - I wonder if he and Millie were playing while I was out, although they have only ever played outdoors before. He had his final laser treatment on Monday and has shown no improvement since then - back to the vets this afternoon, but I have no idea what they can actually do.
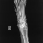
Here is his X-ray - they diagnosed minor inflammatory changes in his ‘wrist’, no bony changes on the long bones or shoulder, no bone fragments seen (they took 4 plates altogether).
He is now not putting the paw to the ground all the time, which is worse than he was before. No heat, no swelling, no reaction, no signs of corns.... I give up!!!

Ace has been lame for 5 1/2 weeks now, he has had 6 sessions of laser treatment and has been on YuMove Advance for 2 weeks so far, he’s been on Instacam all the way through (notably worse without it).
He wasn’t getting any worse - maybe even a tiny improvement - up to last Friday, but he was going absolutely mad due to lack of exercise. With my vets permission took him to the secure dog field with the others, he had a walk ON THE LEAD very slowly around the perimeter while the others pottered about on Friday evening. Left him at home on Saturday when I went to see my mum, came back Saturday afternoon and he was dead lame ? There is no way it was the lead exercise, he has clearly wrenched his leg in some way - I wonder if he and Millie were playing while I was out, although they have only ever played outdoors before. He had his final laser treatment on Monday and has shown no improvement since then - back to the vets this afternoon, but I have no idea what they can actually do.
Here is his X-ray - they diagnosed minor inflammatory changes in his ‘wrist’, no bony changes on the long bones or shoulder, no bone fragments seen (they took 4 plates altogether).
He is now not putting the paw to the ground all the time, which is worse than he was before. No heat, no swelling, no reaction, no signs of corns.... I give up!!!
