Undiagnosed lameness back again

Status
Not open for further replies.

Birker2020

Well-Known Member
Joined
29 October 2008
Messages
23,597
Visit site
Sorry for long post.

On Friday 28th Feb whilst at retirement Lari had xrays for offside fore lameness which showed nothing going on in the feet, no rotation, no navicular bone changes, slight bony spur on coffin joint but nothing horrendous and not thought to be the cause of his lameness. He was on two bute a day at this point which is why we'd had the vet out following a call to her a few days earlier when she said to put on bute till we could arrange an appointment.

He was negative on hoof testers for an abscess and no signs of abscess on xray. The vet then nerve blocked the foot which gave a very positive and definite indication the source if the problem was foot related. YO said she'd been treating salcus thrush for a couple of days with clay prior to vet coming out. Vet dismissed this as the cause, although the horse was sore over that area, he wasn't particuarly ouchy with her although he'd been through the roof with Y.O and myself.

Vet advised to treat for abscess, she pared at sole of foot but no reaction at all. No reaction to hoof testers. Horse very sore still after block wore off, and vet applied a poultice. It felt like it was an unclear diagnosis at best.

Next day I got a call from y.o to say she was sure pain was coming from the salcus in his frog, more the central one. She asked me if i was OK going with her theory so I said I didn't feel it was an abscess either as no reaction to hoof testers. So I agreed for her to continue
to treat his issue as salcus thrush remembering this is what he'd had before, I agreed as i remembered having come across a photo of iodine soaked cotton wool in central salcus groove from 2023. I took him back to the yard he used to be at on Tuesday 4th March. Within two days he was very sound even when turning about a 90% improvement on a tight circle. He was still on two bute a day at this point. I sent the vet a video and said he'd been doing well but had stopped treating for abscess as nothing had come out on the 24hr dressing that had been left on. She agreed he looked loads better and so much better on a circle.

I continued to treat with clay I'd bought on Thursday 6th March when it arrived through the post, filling up the salcus the night before turn out the next day into bone dry paddock with no mud. Lari continued to be sound until last night when he came out of the stable very sore.

Okay on a straight line, progressively better the more he walks which is strange but totally crippled on a turn. I text her, said i was going to try to poultice. She text back and agreed. Sent her video from last night. She rang me today, said to continue 2 bute a day and poulticing, turning out if he can keep poultice on.

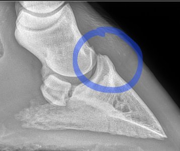
We are going to confer in Monday to see how he is with a view to her coming back if not sound. Options are possible coffin joint arthritis although I'd asked her if she thought it was this before when she came out initially to xray and she said she felt the xray wasn't bad enough for it to be this. Xray attached.

She said it could be soft tissue injury in foot and we could MRI to see if soft tissue injury in foot. I said no to this, no way which she fully understands. If no diagnosis and no improvement I will have no choice but to pts. I will not keep a horse on 2 bute a day. But what a rotten shame for him when he was doing so well back at home.

She finds it strange that he went from lame to sound literally over a two day period to be lame again. I do too. I suggested maybe it was because he was in a stable overnight and stiff, whereas before he was out 24/7 but she said that wouldn't cause the lameness and foot pointing.

Any ideas anyone?
 
Last edited:
Second photo heel area.
 

Attachments

  • Screenshot_20250313_134239_Gallery.jpg
    Screenshot_20250313_134239_Gallery.jpg
    344.9 KB · Views: 73
  • Screenshot_20250313_134300_Gallery.jpg
    Screenshot_20250313_134300_Gallery.jpg
    196.8 KB · Views: 74
I'm not sure I'd be happy with this area here B. That channel looks like it narrows and also looks like it's forcing the joint apart further back. I'm no expert at xrays though. Ludo and Charlie below for comparison I'm sorry Lari is continuing to cause you worries.

Screenshot_20250313_140119_Chrome.jpg


Screenshot_20250313_141052_Photos.jpg


Screenshot_20250313_140957_Photos.jpg
 
Last edited:
Is he OK on 2 bute? He's a big horse so that's reasonable enough if it keeps him happy in retirement.

My line in the sand has always been happy to mooch in field with friends, can roll, sleep, get up etc without issues. Any of those start to be problematic then it's unfair. He's had a big lifestyle change so you might need to watch & see how he goes and if there is a tricky pocket of pus.
 
Is he OK on 2 bute? He's a big horse so that's reasonable enough if it keeps him happy in retirement.

My line in the sand has always been happy to mooch in field with friends, can roll, sleep, get up etc without issues. Any of those start to be problematic then it's unfair. He's had a big lifestyle change so you might need to watch & see how he goes and if there is a tricky pocket of pus.
No he's lame on two bute now which tells me it's progressing whatever it is. Whereas when he first went lame three or four weeks ago (lost track now) he was still not 100% but much better than how he presented last night.

He had rolled since being back home as he's been covered in mud so that is OK and he trotted off down the field Sunday looking pretty good when I turned him out.
 
We have had a couple of rather odd presentations of on/off lameness at our yard in the last month, both have eventually revealed themselves as abscesses. Has his farrier had a look?
 
We have had a couple of rather odd presentations of on/off lameness at our yard in the last month, both have eventually revealed themselves as abscesses. Has his farrier had a look?
Yes but couple of weeks ago. Said sole was very thin, opposite of what the vet said. But the vet parred the sole and couldn't find anything nor did he flinch at all.
 
What I'm struggling with, is that the vet who took the xrays did not make any comment about the area ringed in ycbm post. If I were you @Birker2020 I would see if you can get the xrays reviewed by another vet, and in particular question them about the highlighted area.

I also second getting the farrier to take another look, especially with the history of abscesses.
 
I agree with YCBM. Charlie Horse had a similar X ray: he did 6 weeks on 4 bute a day but was still not even comfortable and wasn't lying down so was PTS.

I'm sorry.
Don't understand as when the vet took the xrays she specifically said no ringbone or sidebone, no navicular, or rotation.

Him becoming sound when home and suddenly going lame again doesn't point to arthritis either.
 
What I'm struggling with, is that the vet who took the xrays did not make any comment about the area ringed in ycbm post. If I were you @Birker2020 I would see if you can get the xrays reviewed by another vet, and in particular question them about the highlighted area.

I also second getting the farrier to take another look, especially with the history of abscesses.
OK although I'm struggling to see her reply tbh
 
I'm not sure I'd be happy with this area here B. That channel looks like it narrows and also looks like it's forcing the joint apart further back. I'm no expert at xrays though. Ludo and Charlie below for comparison I'm sorry Lari is continuing to cause you worries.

Screenshot_20250313_140119_Chrome.jpg



Screenshot_20250313_141052_Photos.jpg



Screenshot_20250313_140957_Photos.jpg
Can you see it in the quote?
 
As you asked for ideas

Ostio arthritis in the joint
Don't think the two bones should be touching

I have this in my foot, comes and goes. Can be hopping lame then sound

The cold makes it worse

Could he have got excited being back home collided with another horse

I would clean out the central sulcus and sole and spray with iodine once a week

What a worry
 
Last edited:
Don't understand as when the vet took the xrays she specifically said no ringbone or sidebone, no navicular, or rotation.

Him becoming sound when home and suddenly going lame again doesn't point to arthritis either.
Maybe your vet is wrong? There are definite changes shown on the x-ray.

Arthritis pain can come and go. I have personal experience of this.

Bute can suppress an abscess, so if there is one brewing, it might take quite some time to appear.

Pssst - it's 'sulcus' plural 'sulci' because Latin.
 
Maybe your vet is wrong? There are definite changes shown on the x-ray.

Arthritis pain can come and go. I have personal experience of this.

Bute can suppress an abscess, so if there is one brewing, it might take quite some time to appear.

Pssst - it's 'sulcus' plural 'sulci' because Latin.


This,
That first xray the circle area is too close together
 
From what I have read and gathered - Lari has come home and he was sound when he came home but now has suddenly come up lame with no apparent reason or cause, and the only thing that has changed is that he is now stabled overnight rather than out 24/7?

I'm probably going to sound proper daft but could he have arthritis which has progressed and that is causing the issue? I have ankle damage myself and when the weather is cold, or I've been still for a while, when I then get up and move around I'm so lame that I might as well be on only one leg. It's worse in the morning and sometimes doesn't go away for a few days - the pain is lessened though with some pain relief and I don't appear lame even though I feel lame still. I've been diagnosed with early onset arthritis and told that it will get worse as I get older and I'll need an operation at some point. However I've noticed that you've said Lari is already on 2 bute a day and he is still lame with this - so I am inclined to think that either it is arthritis and it's progressed to the point where the 2 bute a day isn't touching the pain, or it could be something else presenting as arthritis.....

Have you had him nerve blocked over the time you've been trying to figure out what is causing his mystery lameness - if so has it deffo been isolated to that particular hoof or a different particular place?

From where YCBM has circled the bones deffo look to be touching, potentially rubbing and therefore could be the cause of the mystery lameness - I had my scaphoid bone in my right wrist rubbing against other bones in close proximity from a prior riding accident where it didn't heal quite right, and until surgery, I had days where I couldn't use my hand first thing but it would loosen up throughout the day and we couldn't figure out what was causing it, till we blocked the area and a comparison before and after was done. I was also in a heck of a lot of pain and general pain relief (paracetamol and ibuprofen) wouldn't touch it - I was on hospital prescribed drugs and even then it was the higher dose that required me to be tapered off slowly.

Whatever the problem is - I have everything crossed that it is something that can be solved and you can enjoy having Lari home with you for longer ❤️
 
May 23 to March 25, the difference is very clear. Sorry B, even if that isn't the cause of the current lameness you've got a definite issue there. I would personally be particularly worried about how and why the joint is being pushed apart in the middle.


Screenshot_20250313_165212_Chrome.jpg

Screenshot_20250313_140119_Chrome.jpg
 
May 23 to March 25, the difference is very clear. Sorry B, even if that isn't the cause of the current lameness you've got a definite issue there. I would personally be particularly worried about how and why the joint is being pushed apart in the middle.


View attachment 156395

View attachment 156396
OK I just assumed the xray wasn't taken with the right definition or contrast
 
Considering the below image is one used as an example of a coffin joint someone has used arthramid on, I would definitely send that off for a second look by another vet, I think the remodelling of that bone is quite apparant at the top in that joint.

1741884929312.png

I would also say that comparatively, Larry's looks to have bony proliferation along the bottom of the coffin bone also.
 
OK I just assumed the xray wasn't taken with the right definition or contrast


Not from what I can see and from what I see on other x rays of good joints. The joint space shouldn't, I don't think, have got bigger in the middle like that and the culprit looks like arthritis at the front, commonly called low ringbone.
.
 
Status
Not open for further replies.
Top