I don’t ask often

Well firstly, its good news however you look at it. Obviously you would rather it had showed nothing at all....but those nothing at all xrays with a still lame horse can turn out to be real nightmares when eventually pin down what is happening. This is manageable, and knowing you it will be managed in the very best possible way. You know and trust your farrier so you are already ahead of the game with that side of it.

I am surprised he is carrying too much weight, from recent pics I've seen he looks just spot on, but with these Welshies that can be a narrow line either way I guess. I agree with you, once you get really out and about in the summer that side of it will take care of its self won't it?

I have had this a few years back and she did go into heart bars, but only for about 18 months, eventually I took her barefoot again and she was as sounds as a pound, mainly I think because by then I had taken care of all the other things that were going on in her care and lifestyle.

Do NOT let this get your PTSD going, you have done so well lately with all the other bits of bad luck recently but you can do this too, and it is NOT your fault, just how it goes with horse from time to time, and you know that yourself.

Take care of yourself and keep us updated with is progress. 😊 xx
 
Please don't beat yourself up. The weather over the past year has been odd and I've got one where I'm having EMS checks done - and it's flipping January. She should be losing weight but until this week the grass just kept growing.

Welshies are known for needing to live on rocks and moss and it's hard giving them the exercise they need when we have to go to work to pay the bills.

I think I'd be relieved it's nothing catastrophic and be making plans for spring - but I think you've got that already. If you need shoes then so be it. They can always come off again down the line.
 
Good that you found out now before you got a huge laminitis episode. This is completely and utterly fixable though, and relatively quickly. Once the inflammation comes down, the rotation will reduce and all will be good. It’s just management changes now - trial and error (we got past the more general vet to the practice specialist eventually and following her advice was the key!). Our Shetland was so so poorly with EMS induced laminitis and yet now you would never know. She’s skinnier than she’s ever been, but so long as we keep her on her strict diet and provide enough exercise, she’s sound as anything, in full work and very happy.
 
Thanks everyone ☺️

Going to sleep on this and see what the farrier says once he has seen the X-rays and spoken to the vet.

Had a little bit of a moment after I posted the pics, I guess my fried brain finally caught up and I got rather angry and upset all at the same time, it’s not pretty so thank goodness I live alone 😅

Honestly so thankful for everyone who has taken time out of their day to message or even just react. Means a lot ☺️🤗
 
Just like your farrier don't have X-ray vision, neither do you. And how many of us HHO:ers have not at one or more occasions noticed something with one of our animals, only to in hindsight have to accept that we drew the wrong conclusion? I know I have done that, and I bet you, and me are not the only two HHO:ers to have done that. As much as we want to be faultless, and always do right with them, sometimes it gets wrong.

Try to be kind to yourself, and I hope you find a solution which works for Faran.

{{{{{Hugs}}}}}
 
Glad you got some answers today. Please don’t beat yourself up, things happen all the time with horses but you have investigated and are already thinking ahead to changes in his management. That to me is part of good horse ownership. Re the shoes as others have said, if you and your farrier decide it is the way to go (for now), it may not be forever. Well done.
 
That’s been a bit of a shock diagnosis but good that you can detect when Faran is slightly “off” and the attack is mild. I bet this morning you have all your plans for his management in place and all will be well going forward. Am sending a positive vibe for you this morning!🙂
 
In the grand scheme of things this is not a major disaster - the management will be a right pita but there is no reason to think he won’t have a full and active life at this stage.

He is at a typical age to start showing issues, he has gotten away with it whilst still growing but now he is fully mature and the girth line expands a little too much 😜

TBH I’m not sure you could have realistically predicted this at this stage. But catching it and intervening early is the best thing you could have done.

Just need to brace yourself now for the management changes which emotionally will be tough.
 
He looks like a wonderful sort of pony! Very nice.
It does sound like you have caught it early, and it can be managed with a few changes to the management. I know when my old pony got diagnosed with cushings, and I found out I had to give him a tablet every day for ever, I thought it was a huge thing! Now it is just our routine and I don't even think about it.
I am very interested in how you get on with the shoes/no shoes debate. I keep my ponies unshod, but my youngster hasn't got the best conformation, and is slightly pigeon toed which impacts on how he wears out his hooves, and it is proving much harder than I thought to keep on top of it now that I have started riding now that he is backed. In the back of my head I do wonder if shoeing might make it easier for both of us, but I am reluctant. This sort of management in a barefoot horse is very new to me.
 
Well knowledge is power. You will soon have all the pieces of the jigsaw to make a plan to go forward and I am sure he will soon come right. If we could all perfectly diagnose what was amiss with our horses we would not need vets so don't beat yourself up about things which were somewhat subtle to spot. I found with mine that the vet/farrier think tank was a good resource to use so you are not alone with this.

Let's hope 2024 is the year that things start to turn for the better for you.
 
I had one diagnosed with Cushings after a mild laminitis episode. He too was a bit cresty, no other obvious symptoms. He was also very slim elsewhere. But had raging Cushings. He's been medicated now for 8 years, and is doing very well.
When he was diagnosed I had a bit of a panic. I'd read about Cushings and thought it was a death sentence, and it is a bit, but here we are 8 years on and still enjoying each others' company. You sound as if you have a good plan in place, for you and your lovely pony.
 
He's a lucky boy to have you as his human. Many wouldn't have acted and caught this so early.

He has that 'square bottom' shape welshies (usually the little ones) get. I'd agree with others he may very well have EMS or cushings. But again it's been picked up early so is very manageable and can be medicated.

As you have said it could have been a lot worse. The out come is you have a horse that needs careful management which will take a little trial and error to get right, but he will still be able to do all the fun stuff you have planned together. I don't think that is a negative at all, it's just different.

Don't beat yourself up if there are a few bumps in the road, your a fantastic caring owner and have the advice and support of professionals around you to help you make decisions, your boy couldn't ask for more.
 
Thank you everyone ❤️ I have read every comment and it’s been wonderful how supportive everyone has been ❤️

Today I have put it orders for fence posts wooden and electric (tall ones) picked up some cable ties for his new flexible filly muzzle, measured and cut up and old
Fleece girth sleeve for extra padding on his headcollar and also ordered an attachment to make his headcollar field safe. So very proactive.

I also got his a swingers to enjoy. This was him with it before I left for the night 🙂

 
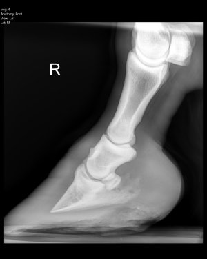
Personally I’d (at least short term) get shoes on him to help address quite clear balance issues. For a variety of reasons, more immediate comfort to assist with better movement (weight loss benefits). Reduce the risk of poor compensatory patterns (potential for soft tissue/arthritic changes).

One alignment is better and you have any weight/metabolic issues under control, by all means aim to remove the shoes.

Just my twopenneth
 
I’m inclined to agree with ihw re putting shoes on in the short term to correct the imbalances, plus repeat x rays to monitor progress. That is what I did with my homebred with poor front foot balance. The shoes came off again later.

I have to say that I’d not be minded to stay with a farrier who had allowed those imbalances to creep in.
 
I'm sorry it's laminitis but please don't blame yourself it happens and it's literally low grade so best outcome.

My mare got laminitis she had cushings and ems and my honest opinion is he looks a bit ems, I mean this in the best possible way but my mare looked the same they sort of have a bulkyness about them.

She had episodes of low grade laminitis but she was retired so keeping weight off was hard this was years ago as well, there are so many treatments that are so effective now and it can totally take them out of that ems state, so it's definitely not the worst outcome if it is and you have a really good plan in place.

I'm gutted for you as he is one of my favourite horses on here so I will be looking forward to all your updates and pictures 😊xx
 
Hi everyone

Just thought I'd update this, so some good news! No EMS or Cushings showing on thr bloods so I'm feeling alot more relaxed than I was over the weekend!

I am however still going to manage him like he is as much as i can/planned to so as we can avoid it occurring in future 🤞🏻
My little fat cob with the odd liver results also came back negative for EMS and cushings and I felt myself breath a sigh of relief too.

Knowing she's 'just' got fat after the move to their winter field and a lot less exercise took a huge weight off my mind. Summer is strip grazing and the track anyway and now the days are getting longer she can actually start hacking more. She is also getting clipped (badly!)
 
Top