Kissing Spine - Note sure on vets recommendation?

lucy_108

Well-Known Member
Joined
28 August 2018
Messages
107
Visit site
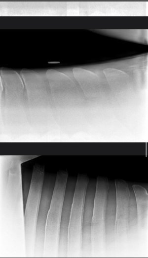
I am just looking for a little advice whilst I wait for a second opinion on these x-rays.

9 year old, 15.2 mare. She has been struggling with poor performance that has manifested in bucking, hollowness and reluctance to go forward. She started refusing fences which prompted a work up with her regular vet.

She was trotted up, lunged on hard and soft and had flexion tests. She was negative to all, with the exception of a very slight positive flexion on the hind limbs. Manipulation of the back was unremarkable.

Vets advised that x-rays revealed three very narrow interspinal spaces along the thoracic spine. These were medicated with a corticosteroid.

They have advised no ridden work for 2 week, but to lunge on a wide circle in a pessoa, focussing on trot work (starting at 10 mins, increasing to 45/50 mins by the end of two weeks). Then start riding again.

I would be interested to hear what others think of these radiographs and course of treatment? I feel like medicating is simply masking a problem that will still be present and symptoms will eventually return when the medication loses efficacy?

Interested to hear any view points. Thank you!
 

Attachments

  • WhatsApp Image 2025-08-13 at 09.44.11.jpeg
    WhatsApp Image 2025-08-13 at 09.44.11.jpeg
    55.1 KB · Views: 33
  • WhatsApp Image 2025-08-13 at 09.44.13.jpeg
    WhatsApp Image 2025-08-13 at 09.44.13.jpeg
    75.8 KB · Views: 33
  • WhatsApp Image 2025-08-13 at 09.44.20.jpeg
    WhatsApp Image 2025-08-13 at 09.44.20.jpeg
    54.3 KB · Views: 33
I will only comment on the Pessoa. Hard no. I can't believe vets are still recommending them.


Take a look.at equitopiacenter.com for lots more knowledge on how KS can happen, and a better view on what's underlies it, seeing it as a symptom, and there are likely other symptoms, maybe much more minor, that have not come to light, but could well if rehab follows what the vet is suggesting.

I've recommend this a lot, and it's not earth shattering, but it's free and does a lot more than what it says on the time, the Slow Walk Work group on FB. There's a free ebook to download, and then go to featured posts.

See medication as window of opportunity to change the movement patterns. Lunging, Pessoa or no, will not do that.

I focus on posture and healthy movement in my saddle fitting so take a keen interest.
 
Last edited:
The medication is entirely appropriate, it reduces pain and inflammation to give you a window whereby the horse can build better movement patterns which in turn will help build muscle and strength with the view to the right rehab improving the KS.

Pessoa work is old school and any decent performance vet, up to speed on biomechanics, should not be recommending g this imo.

I’d advise you find yourself either a second opinion vet program and a decent physio, as the ongoing correct physio and groundwork will be the difference between success and failure
 
I am just looking for a little advice whilst I wait for a second opinion on these x-rays.

9 year old, 15.2 mare. She has been struggling with poor performance that has manifested in bucking, hollowness and reluctance to go forward. She started refusing fences which prompted a work up with her regular vet.

She was trotted up, lunged on hard and soft and had flexion tests. She was negative to all, with the exception of a very slight positive flexion on the hind limbs. Manipulation of the back was unremarkable.

Vets advised that x-rays revealed three very narrow interspinal spaces along the thoracic spine. These were medicated with a corticosteroid.

They have advised no ridden work for 2 week, but to lunge on a wide circle in a pessoa, focussing on trot work (starting at 10 mins, increasing to 45/50 mins by the end of two weeks). Then start riding again.

I would be interested to hear what others think of these radiographs and course of treatment? I feel like medicating is simply masking a problem that will still be present and symptoms will eventually return when the medication loses efficacy?

Interested to hear any view points. Thank you!
Sorry to hear about your horse. I can only share my experience after TB diagnosed with similar about 5 years ago. Injections do mask symptoms for about 6 weeks to buy you time to begin rehab without causing pain. I followed suggested rehab of lunging in pesoa to the letter every day. Always start in 5 mins walk both reins every time before going into trot. (Only ever transition to canter in a Pesoa then straight back to trot.) After 10 weeks horses shape had changed beyond recognition as his core strengthened. I did repeat injection once but since then he has been fine as I got to grips with how to ride him properly. He is now nearly 20 and going better than ever - apparently pain free. One thing I would say is that rehab way of working is permanent. Horse has to be kept fit and worked correctly most days to maintain core strength (Pilates for ponies). Good luck - hard work but well worth it in our case.
 
Top