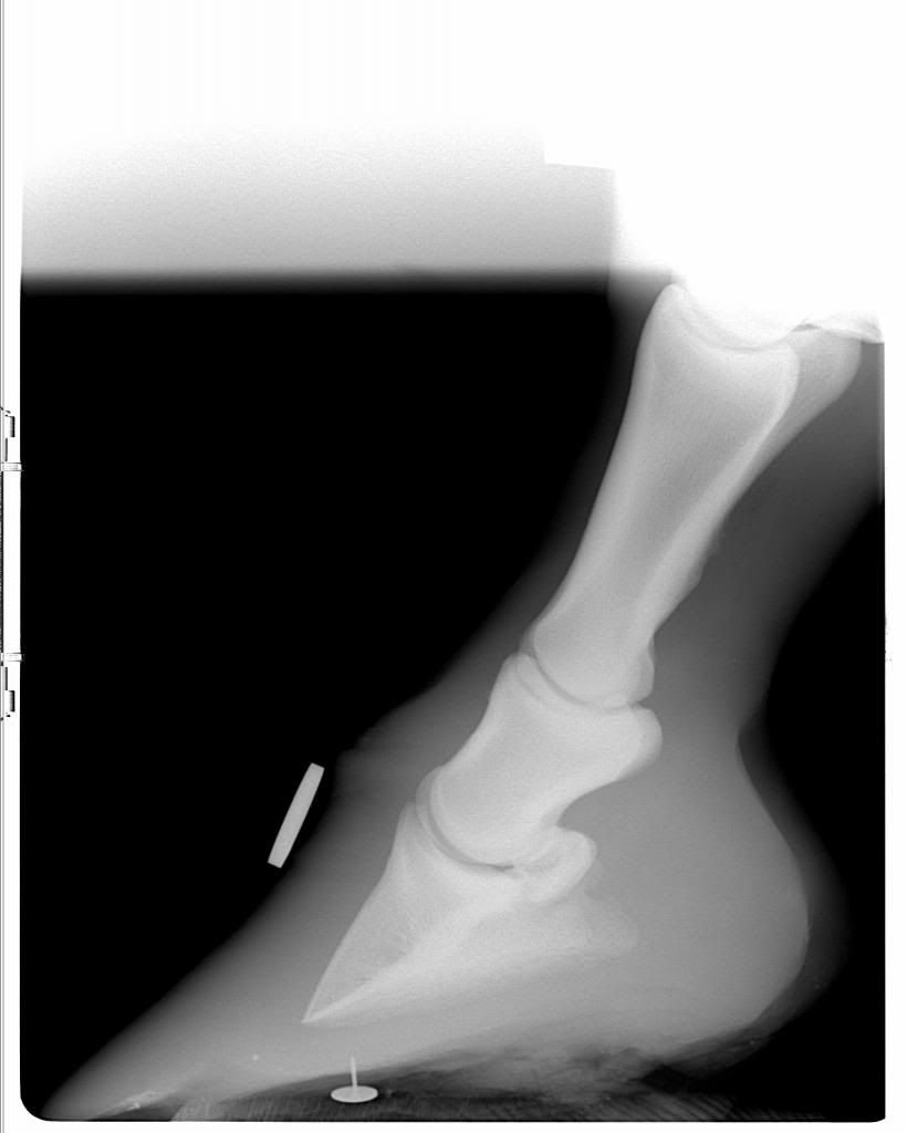
What can these X-rays tell you about these feet?

Orchardbeck

Well-Known Member
Joined
3 December 2010
Messages
1,299
Visit site
Just out of interest, I have a set of X rays taken of my horse's feet from around 2 years ago, after she had had laminitis.

Even though she was barefoot, I didn't really pay much attention to the feet side of things and left it to my farrier/vet at the time, therefore I don't feel as though I learned anything from the experience and would really value you barefooters comments on what you can see. Now I am very interested in this subject!

As I mentioned, these are not current, they are two years old and my horse was trimmed accordingly, but I would love to hear your thoughts and opinions and anything you can gleam from them, if only as a learning exercise.

Left Fore

http://i1250.photobucket.com/albums/hh538/snorman1/X-rays%202011/dixon_jasmine_110511_left_fore-1.jpg

Left Hind

http://i1250.photobucket.com/albums/hh538/snorman1/X-rays%202011/dixon_jasmine_110511_left_hind.jpg

Right Hind

http://i1250.photobucket.com/albums/hh538/snorman1/X-rays%202011/dixon_jasmine_110511_rt_hind.jpg

Right Fore

http://i1250.photobucket.com/albums/hh538/snorman1/X-rays%202011/dixon_jasmine_rt_fore_1105111.jpg
 

The fore hooves are very, very long in the toe. She would have had very stretched white lines. Even on the x-rays you can see the angle that the hoof should have been (under the coronet). If you take that angle down, you can see that the hooves would be much smaller, however the pedal bone would still be rotated down.
 
All FOUR feet are very long in the toe and flat.

I would say that, even without the pedal bone rotation the horse was metabolically compromised and careful attention needed paying to both diet and trimming.
 
Good grief, agree with CBFan, very very long in the toe.

How is the horse now?

Its very important that you learn as much as you can about foot balance so you can be more "in control" if you're faced with something like this again.
 
Thanks for the comments, i'll stress this was two years ago, unfortunately it happened not long after my baby was born so she'd been off work for a while and was staying at my parents in a big field - carrying far too much weight.

It was certainly an eye opener and from that day onward I became obsessed with her diet, had the farrier out at least every 6 weeks and he trimmed them to help realign the rotation - I was told it was 9 degrees at the time by the vets.

I got her weight right down too, after all the box rest she was forced to wear a grazing muzzle. I'm pregnant again and petrified of this happening again - she's staying at home this time where I can keep an eye on her.

I wonder what her feet would look like if I x rayed them now - the farrier did a really good job with them at the time and they looked great but I am a bit worried about her fronts as they seem to be growing quickly- farrier's coming out tomorrow. They did this when I was feeding her Antilam two years ago, and she's back on it now so it's probably got a lot to do with it.
 
Top