TwyfordM
Well-Known Member
Perhaps your vet can give you some sedative - for you.![]()
I think I need them more than her at this point, but I’ll have to settle for a very alcoholic drink ?
Perhaps your vet can give you some sedative - for you.![]()
I’m joining you. Polly walked in a bit slowly but seemed fine, so deep bed and soaked hay (always has soaked hay)etc. 8 hours later she was holding one foot up and very sore. Vet been and diagnosed lami, worse in left fore. No reaction to hoof testers, no heat, but mild pulse in the left. Very, very sore.
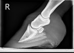
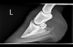
X-rays showed nothing too concerning, thankfully. No sinking, 6degrees rotation on bad foot and 4 on other, but given how sore she is, vet was very relieved and prognosis is good.
Seems to be EMS related. She is always muzzled overnight on a grazed down field and has hay that is soaked for 12 hours. Feed is just a token of chaff for supplement.
She’s already very annoyed at being in. Vet back in 2 weeks.
jeeze i get a warning against this reply just because i made a typo i meant to say styrofoam pads with * DUCK TAPE, *and made a typo in my haste to spell out a rude word. Better go sit in the corner, obviously not allowed to make typosI prefer https://www.nesanimalhealth.co.uk/simple-system---purabeet-pellets----sugar-beet---20kg-9306-p.asp to speedy beet for my lami horses, also no nuts while flare up
I'm not sure what units your vet is giving the insulin results in but usually sub 20 is ok. 56 still EMS but the little welshie on our yard was over 300 in her lami episode so I'd say 56 isn't awful.Just heard from the vet, confirmed EMS too ??
Apparently insulin levels should be around 5 and hers are 56. She thinks they could be out of whack because her ACTH was high so we are going to wait until after blood tests next week to see if the pergolide paste dose needs to be increased or not before deciding which route to go down. May be able to bring it down with diet alone but if not she’ll have a course of levothyroxine to see if we can get it under control then manage with diet alone.
Not the news I wanted![]()
I'm not sure what units your vet is giving the insulin results in but usually sub 20 is ok. 56 still EMS but the little welshie on our yard was over 300 in her lami episode so I'd say 56 isn't awful.
Levothyroxine is hideously expensive. I've just had one diagnosed with a thyroid issue and the cost for 6 weeks is £500. Maybe a pony will need less but I'm debating which organ to sell. I hope you can sort with diet!
We’ve been having a nightmare with Polly as she is a chronic box walker. She is annihilating her deep bed morning and night to the point that she is standing on the rubber matting and there are no whole poos to pick up as the whole thing is just a mulch of bed that’s been pushed to the banks. She’s screaming and getting herself in a frenzy and I’m turning up to one bounding pulse, presumably from the box walking. It’s never felt like that before, even on grass.
The vet gave us permission to turn her out in the manège for half an hour morning and evening with Millie next door, as she was getting in such a state. Pulse calms after her time out. She’s walking completely sound and on turns but is still on danilon, but she comes back in and the box walking starts again, plus screaming and sweating. I have had a chat with my mum and made an executive decision that we are going to have to manage this slightly differently, given Polly’s slightly odd nature, so she is going to be out in a pen overnight. Box resting is just not the way to go for her.
jeeze i get a warning against this reply just because i made a typo i meant to say styrofoam pads with * DUCK TAPE, *and made a typo in my haste to spell out a rude word. Better go sit in the corner, obviously not allowed to make typos![]()
That’s super news!
We can’t get a weight tape near PollyShe is so tucked up through stress but her crest is still far bigger than I’d like.
Headed down now to see what state my bed is in. It was deep and thick this morning when I left. I’ll take a picture of the destruction this evening.

She’s looking good! Polly is in a pen overnight as we just couldn’t keep her box rested. The amount of stress she has caused me this week!
It’s honestly soooo stressful isn’t it. I feel like those fat pads are finally shifting which hopefully will make all the difference ?? I’m really holding my breath with the whole trimming situation, I know she’s only going to get fully better if it’s sorted, but feels so wrong to trim while she’s sore.
She was so good despite everything though so hopefully wasn’t too uncomfortable
Polly has lost a lot of weight off her belly, which wasn’t particularly big to begin with (ribs easily felt), but crest is just not shifting. It’s so disheartening as I know it’s the crest that is causing us the issues.
Everytime I am due down to the yard I have a feeling of dread incase she’s taken a turn for the worse. We’ve already made our minds up that if she was to get significantly worse, we will call it a day. She has many other issues- PSD, hock arthritis and SI joint disease. We have always said she has a home for life, regardless of whether she has to fully retire, but we aren’t prepared to put her through anything really stressful. Fortunately our vet is on board with it. He knows her and how unusual she is, so we are trying to manage this in a ‘Polly friendly’ way.
Totally understand, she’s 17 so not horrendously old but she’s has issues in the past with liver etc so the amount of bute it’s taking to keep her comfy is worrying. Plus she managed to have a rotational fall in the field trying to jump a 5 bar gate (she’s 12hh ??) and fractured a few vertebrae which have surprisingly healed up nicely and the neurological unsoundness is all but gone. But I’m aware both issues will probably catch up with her in the end. Not to mention the metabolic side is likely to get more difficult to manage. If she wasn’t so full of life and determined to keep going I’d be making the call now. But she’s honestly such a little fighter. Surprises me every time
It’s such a fine balance isn’t it? So glad your pony is doing well. I blame myself for Polly, I took my eye off the ball a couple of summers ago and the crest appeared. It was when Diva was ill that summer and I was so pre-occupied with her that I just didn’t watch Polly’s weight enough. I feel eternally guilty for that and I feel that it’s finally caught up with us, but I will do everything I can to get her through this. She looked fantastic tonight, with a spring in her step. Trying not to get my hopes up too much though.
Walked out pretty well tonight ??
Seems comfortable after trim which I’m taking as a good sign, bute dropped down tonight to half a sachet. Weight is falling off her now too. Let’s hope she’s still happy tomorrow because we flew out that stable tonight prancing and trying to pinch everyone’s feed ???